Invisalign® as low as $3,379!
Why Choose Invisalign
- A Clear Alternative to Braces
- Near-Invisibility
- Removable and Replaceable
- Doesn't Impact Brushing Habits


This method of straightening your teeth will give you straighter teeth without the discomfort and visibility of braces.

Why Choose Invisalign?
Our computer program creates a series of clear plastic aligners made especially for your teeth.
As the teeth move into their desired position, the old aligners are removed so that new, more effective aligners may be put in. The comfort, ease, and near-invisibility of Invisalign make it a great option for mild to moderate cases.
Choosing to straighten your teeth is a big decision that affects not only your appearance, but your lifestyle as well. As an adult, you may be looking to improve your smile for business and social reasons, or even for a special occasion like your wedding day. Or perhaps you’re a teen or the parent of a teen looking for an effective yet modern-day solution. Either way, Castlebury Dental and Invisalign can provide a simple way to accomplish this without having to put your life on hold. Take a moment to learn more about the entire Invisalign treatment process and how it can help you. Read more at Invisalign.com.

If you have questions about Invisalign visit our Invisalign Frequently Asked Questions. If it still doesn't answer your question, please contact us!
Invisalign FAQs
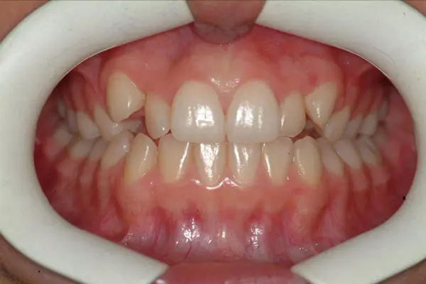
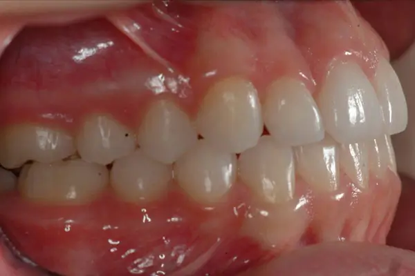
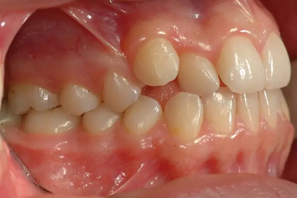
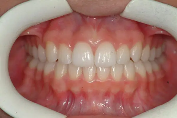
See the Results for Yourself
Age 14 | Female | Invisalign





